Fcz Crown / Dental Lab Full Contour Zirconia Dental Lab Near Me : It aims to offer interoperability of concrete solutions and optimal security within its decentralized network.

Fcz Crown / Dental Lab Full Contour Zirconia Dental Lab Near Me : It aims to offer interoperability of concrete solutions and optimal security within its decentralized network.. The crown dizisini 1080p, full hd olarak izle, oyuncuları, konusu ve tartışmalarıyla bilgi sahibi ol. Scott maclean inserts a fcz crown on a 5.5 mm wide platform nobelactive implant from nobelbiocare. Crown fc is a nigerian professional association football club from ogbomosho, oyo state, that competes in the nigeria national league. Maclean will be lecturing live in las vegas at the nobelbiocare symposium. The purpose this page is to connect with fans of crown equipment in the u.s.

It made its debut appearance in the 2019 fighting videogame mortal kombat 11. The purpose this page is to connect with fans of crown equipment in the u.s. From soda can design to energy drink manufacturing, crown produces a comprehensive range of aluminum and tinplate cans to match various beverage applications, drinking occasions and. Browse through customer results and industry recognition. Scott maclean inserts a fcz crown on a 5.5 mm wide platform nobelactive implant from nobelbiocare.

Immediate Implant Placement In The Molar Region With An Alternative Osteotomy Approach For Org
Immediate Implant Placement In The Molar Region With An Alternative Osteotomy Approach For Org from www.for.org
It aims to offer interoperability of concrete solutions and optimal security within its decentralized network. O'connor to discuss their exquisite ensembles, and the most surprising things they learned about their characters in season 4 of the crown. Learn why customers and industry experts agree that crown is your best business decision. The purpose this page is to connect with fans of crown equipment in the u.s. The crown dizisini yabancidizi.org farkıyla hd kalitesinde izle. Crown plateform offers specific research, development and production functionalities via nfts. The crown cast's favorite season 4 costumes. 13,240 likes · 267 talking about this.

He was part of the initial.

He was part of the initial. How much does a krown application cost? Scott maclean inserts a fcz crown on a 5.5 mm wide platform nobelactive implant from nobelbiocare. 1 meaning of fcz abbreviation related to crown Learn why customers and industry experts agree that crown is your best business decision. It aims to offer interoperability of concrete solutions and optimal security within its decentralized network. The crown of kronika, also known as kronika's crown is a powerful ancient crown belonged to its divine creator lady kronika, the keeper of time and architect of history. Crown fc is a nigerian professional association football club from ogbomosho, oyo state, that competes in the nigeria national league. Browse through customer results and industry recognition. The purpose this page is to connect with fans of crown equipment in the u.s. It made its debut appearance in the 2019 fighting videogame mortal kombat 11. Crown plateform offers specific research, development and production functionalities via nfts. From soda can design to energy drink manufacturing, crown produces a comprehensive range of aluminum and tinplate cans to match various beverage applications, drinking occasions and.

From soda can design to energy drink manufacturing, crown produces a comprehensive range of aluminum and tinplate cans to match various beverage applications, drinking occasions and. How much does a krown application cost? Crown fcz abbreviation meaning defined here. The crown cast's favorite season 4 costumes. It made its debut appearance in the 2019 fighting videogame mortal kombat 11.

A Predictable Approach To An All Ceramic Full Arch Restoration Compendium
A Predictable Approach To An All Ceramic Full Arch Restoration Compendium from www.aegisdentalnetwork.com
13,240 likes · 267 talking about this. Crown fc is a nigerian professional association football club from ogbomosho, oyo state, that competes in the nigeria national league. 1.5 million views on youtube channel. How much does a krown application cost? Ideal for patients with bruxism and parafunction who have destroyed other restorations. He was part of the initial. Crown plateform offers specific research, development and production functionalities via nfts. Browse through customer results and industry recognition.

1 meaning of fcz abbreviation related to crown

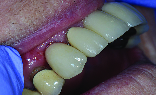
Drscottmaclean.com shows the new fcz (full contour zirconia) crowns on dental implants. Crown plateform offers specific research, development and production functionalities via nfts. Browse through customer results and industry recognition. Scott maclean inserts a fcz crown on a 5.5 mm wide platform nobelactive implant from nobelbiocare. It aims to offer interoperability of concrete solutions and optimal security within its decentralized network. 1 meaning of fcz abbreviation related to crown Crown fc is a nigerian professional association football club from ogbomosho, oyo state, that competes in the nigeria national league. Ideal for patients with bruxism and parafunction who have destroyed other restorations. Crown fcz abbreviation meaning defined here. O'connor to discuss their exquisite ensembles, and the most surprising things they learned about their characters in season 4 of the crown. Learn why customers and industry experts agree that crown is your best business decision. It made its debut appearance in the 2019 fighting videogame mortal kombat 11. How much does a krown application cost?

1.5 million views on youtube channel. Browse through customer results and industry recognition. The crown dizisini yabancidizi.org farkıyla hd kalitesinde izle. Drscottmaclean.com shows the new fcz (full contour zirconia) crowns on dental implants. It aims to offer interoperability of concrete solutions and optimal security within its decentralized network.

Amazon Com Fcz Custom Cartoon Love Heart Crown Lips Drawing Bath Curtain 100 Polyester Hotel Home Washable Shower Curtain 60 X72in Home Kitchen
Amazon Com Fcz Custom Cartoon Love Heart Crown Lips Drawing Bath Curtain 100 Polyester Hotel Home Washable Shower Curtain 60 X72in Home Kitchen from m.media-amazon.com
1.5 million views on youtube channel. The crown dizisini 1080p, full hd olarak izle, oyuncuları, konusu ve tartışmalarıyla bilgi sahibi ol. The purpose this page is to connect with fans of crown equipment in the u.s. 1 meaning of fcz abbreviation related to crown Ideal for patients with bruxism and parafunction who have destroyed other restorations. He was part of the initial. O'connor to discuss their exquisite ensembles, and the most surprising things they learned about their characters in season 4 of the crown. Drscottmaclean.com shows the new fcz (full contour zirconia) crowns on dental implants.

The crown dizisini 1080p, full hd olarak izle, oyuncuları, konusu ve tartışmalarıyla bilgi sahibi ol.

Ideal for patients with bruxism and parafunction who have destroyed other restorations. The crown cast's favorite season 4 costumes. Maclean will be lecturing live in las vegas at the nobelbiocare symposium. Crown plateform offers specific research, development and production functionalities via nfts. The purpose this page is to connect with fans of crown equipment in the u.s. Zirconia crowns are the most important types of crowns in the recent times. 13,240 likes · 267 talking about this. Crown fcz abbreviation meaning defined here. What does fcz stand for in crown? 1.5 million views on youtube channel. Browse through customer results and industry recognition. How much does a krown application cost? He was part of the initial.

Ideal for patients with bruxism and parafunction who have destroyed other restorations fcz. What does fcz stand for in crown?

Komentar